EPILESSIA
I termini “crisi epilettica”, “convulsione”, “attacco” sono sinonimi di un disturbo parossistico transitorio della funzione cerebrale che si presenta con insorgenza improvvisa, termina spontaneamente, ha la tendenza a ricomparire ed ha origine nel prosencefalo.
Una crisi convulsiva avviene quando l’equilibrio tra eccitazione e inibizione neuronale cede a favore dell’eccitazione.
Secondo le recenti definizioni enunciate da Berendt et al. (2015).
Per “Convulsione” si intende un evento breve, improvviso e transitorio da non associare necessariamente ad una crisi epilettica.
Parlando invece di “Crisi epilettica” ci si riferisce ad una manifestazione di attività epilettica neuronale sincrona e autolimitante che sfocia in brevi episodi convulsivi o movimenti focali.
La “Convulsione reattiva” è una risposta data da un disturbo funzionale dell’encefalo di tipo metabolico o tossico che è reversibile alla remissione della causa.
Per “Epilessia” si intende una predisposizione da parte dell’encefalo a generare crisi epilettiche. Questa definizione è applicabile se si hanno almeno due crisi in più di 24 ore.
La crisi convulsiva è costituita da varie fasi:
Per “periodo prodromico” si intende il cambiamento dello stato del sensorio che precede la crisi.
Con “aura” si intendono i segni iniziali focali, motori o sensitivi, che possono precedere una crisi convulsiva generalizzata di pochi secondi.
Il “periodo interictale” è quello che intercorre tra le crisi dopo che il paziente si è ripreso dalla “fase postictale”, con la quale si intende il periodo di recupero dopo la crisi convulsiva: il paziente può vagare in uno stato confusionale, camminare in modo propulsivo in circolo, dormire o essere polifagico.
In genere questa fase dura meno di un’ora ma è possibile osservarla fino a 1-2 giorni.
| Crisi convulsiva generalizzata | Crisi convulsiva parziale |
![]() |
![]() |
![]() |
Una crisi convulsiva isolata è una crisi che si verifica una volta nell’arco di 24 ore.
Per crisi convulsive a grappolo si intendono due o più crisi nelle 24 ore, separate da periodi interictali normali.
Lo stato epilettico è invece uno stato di crisi continuo per più di 5 minuti, oppure quando si verifica una serie di crisi senza recupero totale dello stato di coscienza tra le crisi per 30 minuti.
Secondo l’articolo “International veterinary epilepsy task force consensus report on epilepsy definition, classification and terminology in companion animals” (Berendt et al. 2015), la classificazione dell’epilessia distingue varie forma di crisi convulsive:
una crisi convulsiva “focale” consiste in una scarica neuronale spontanea di un piccolo gruppo di neuroni prosencefalici subcorticali con propagazione nell’emisfero controlaterale.
I segni clinici sono lateralizzati o focali ed hanno una presentazione motoria (tremori facciali, masticazione a vuoto etc), autonomica (dilatazione pupillare, vomito, ipersalivazione), comportamentale (stato di ansia, agitazione, aggressività, movimenti di maneggio).
Una crisi “generalizzata” interessa invece l’intero encefalo: il paziente perde conoscenza, mostra contrazioni muscolari tonico-cloniche, è in decubito, ha pedalamento degli arti.
Si può inoltre osservare scialorrea, movimenti di masticazione, dilatazione pupillare, rilascio di feci e urine.
Queste crisi durano in genere da 30 secondi a 3 minuti, seguiti da un periodo variabile di segni clinici postictali e completo recupero.
La causa più comune di crisi epilettiche nel cane è l’epilessia idiopatica.
L’insorgenza delle crisi avviene solitamente tra i 6 mesi e i 6 anni di età; la crisi dura in genere da 30 secondi a 3 minuti.
La visita clinica e quella neurologica sono nella norma così come gli esami del sangue, l’esame del liquido cefalorachidiano e la risonanza magnetica (RM) dell’encefalo.
Si ipotizza che i cani con epilessia idiopatica abbiano una soglia epilettogena bassa per via di un’alterazione genetica.
Le crisi convulsive posso essere determinate da patologie intracraniche ed extracraniche.
Patologie intracraniche:
- Malformazioni (idrocefalo, lissencefalia, idrancefalia, displasia corticale…)
- Trauma cranico: può causare crisi convulsive al momento del trauma o a distanza di tempo
- Neoplasie prosencefaliche: sono la causa strutturale più frequente di crisi convulsiva; comprendono sia forme primarie che metastatiche
- Cause infiammatorie: sia su base infettiva che autoimmunitaria
- Patologie degenerative
- Lesioni vascolari: ictus ischemici od emorragici
Patologie extracraniche:
- Patologie che interessano principalmente altri organi creando un disturbo sul metabolismo neuronale: ipoglicemia, encefalopatia epatica, disturbi elettrolitici, ipossia, ipertermia, assunzione di sostanze tossiche.
![]() |
![]() |
![]() |
Approccio clinico e esami collaterali come diagnosi di epilessia:
- Esame neurologico: va effettuato nel periodo interictale perché sia attendibile.
- Esame ematobiochimico: alterazioni come anemia microcitica in corso di shunt portosistemico, leucocitosi e neutrofilia nelle meningoencefaliti, aumento della BUN nelle patologie renali croniche sono segni indicanti una causa metabolica di epilessia.
- Esame del liquido cefalorachidiano: è effettuato come presupposto della diagnosi di un’ampia varietà di patologie e condizioni che colpiscono in SNC.
Le principali:
- Malattie batteriche: pleocitosi con predominio di neutrofili.
- Malattie micotiche: le caratteristiche del liquor in caso di criptococ- cosi sono molto variabili, i conteggi possono variare evidenziando aumenti marginali o marcati di cellule infiammatorie.
- Malattie protozoarie: lieve o moderata pleocitsi di tipo misto con monociti, linfociti, neutrofili e eosinofili in caso di neosporosi o toxoplasmosi.
- Malattie virali: pleocitosi comletamente mononucleare o di tipo misto.
- Meningite granulomatosa (GME): aumento moderato o marcato di piccoli linfociti maturi, mentre la restante parte è costituita da macrofagi o neutrofili.
- Neoplasie: alterazioni variabili che riflettono la varietà di tumori. L’anomalia più comune è l’aumento della concentrazione di proteine. Si può avere una pleocitosi mononucleare, anche se i meningiomi possono presentare l’aumento del 50 % di neutrofili.
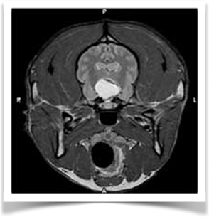
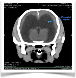
- Risonanza magnetica: è l’esame di diagnostica per immagini più affidabile per il riconoscimento di patologie prosencefaliche che causano crisi convulsive.
- Tomografia computerizzata (TC): può mettere in evidenza molte lesioni prosencefaliche ed è l’esame di prima scelta nei pazienti traumatizzati. E’ scarsamente sensibile nell’evidenziare le lesioni infiammatorie o metaboliche non consentendo una differenziazione ai fini della scelta terapeutica da mettere in atto.
L’approccio terapeutico dipende da vari fattori tra cui l’eziologia, la ricorrenza delle crisi, il tipo di crisi convulsiva e gli effetti sul paziente.
I principali meccanismi dei farmaci antiepilettici sono l’aumento dei processi inibitori facilitando l’azione del GABA, la riduzione della trasmissione eccitatoria e la modulazione della conduzione delle membrane dei cationi.
I principali farmaci sono fenobarbitale, Bromuro di potassio, gabapentin, pexion e levetiracetam.
![]() |
![]() |
IN EVIDENZAL’applicazione per SmartPhone “Royal Veterinary College’s free pet epilepsy tracker” offre un nuovo modo interattivo per gestire l’epilessia del vostro animale domestico.
http://www.rvc.ac.uk/news-and-events/rvc-news/rvc-pet-epilepsy-tracker-app












